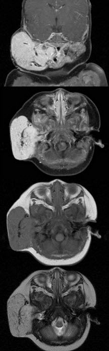
老年患者,右侧面部肿胀,呈青紫色,MRI检查如图所示,请选择最可能的诊断()A: 血管瘤B: 囊肿C: 脓肿D: 神经纤维瘤E: 神经鞘瘤
0 阅读
老年患者,右侧面部肿胀,呈青紫色,MRI检查如图所示,请选择最可能的诊断()
- A: 血管瘤
- B: 囊肿
- C: 脓肿
- D: 神经纤维瘤
- E: 神经鞘瘤
请帮忙给出正确答案和分析,谢谢!
搜题,就来89问答库