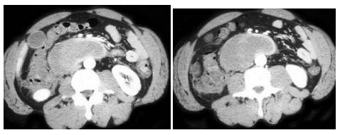
根据所提供的图像,该病例最可能的诊断为()A: 胰腺假性囊肿B: 十二指肠血肿C: 十二指肠癌D: 十二指肠憩室E: 胰腺癌
4 阅读
根据所提供的图像,该病例最可能的诊断为()
- A: 胰腺假性囊肿
- B: 十二指肠血肿
- C: 十二指肠癌
- D: 十二指肠憩室
- E: 胰腺癌
请帮忙给出正确答案和分析,谢谢!
搜题,就来89问答库