男,68岁,胸闷、气逼1年余,加重1周,右胸有手术史,结合CT图像,最可能的诊断是()A: 右侧气胸并皮下气肿、左侧肺气肿B: 右侧气胸并皮下气肿、左侧肺不张C: 双侧肺气肿D: 右侧气胸并皮下气肿E: 右侧肺间质病变、左侧肺气肿
5 阅读
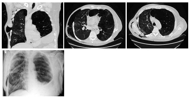
男,68岁,胸闷、气逼1年余,加重1周,右胸有手术史,结合CT图像,最可能的诊断是()
- A: 右侧气胸并皮下气肿、左侧肺气肿
- B: 右侧气胸并皮下气肿、左侧肺不张
- C: 双侧肺气肿
- D: 右侧气胸并皮下气肿
- E: 右侧肺间质病变、左侧肺气肿
请帮忙给出正确答案和分析,谢谢!
搜题,就来89问答库