女,52岁,左小腿肿胀两年余,活动后稍加重,不痛不热,结合所提供的图像,最可能的诊断是()A: 大腿错构瘤B: 大腿畸胎瘤C: 大腿平滑肌瘤D: 大腿囊肿E: 大腿脂肪瘤
0 阅读
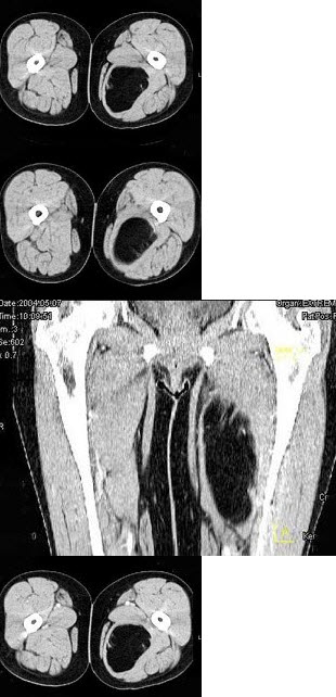
女,52岁,左小腿肿胀两年余,活动后稍加重,不痛不热,结合所提供的图像,最可能的诊断是()
- A: 大腿错构瘤
- B: 大腿畸胎瘤
- C: 大腿平滑肌瘤
- D: 大腿囊肿
- E: 大腿脂肪瘤
请帮忙给出正确答案和分析,谢谢!
搜题,就来89问答库