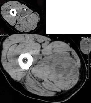
男,30岁,主诉右大腿肿块年余,逐渐增大,局部胀痛及压痛,根据图像表现,最可能的诊断是()A: 脓肿B: 血管瘤C: 脂肪瘤D: 横纹肌肉瘤E: 神经纤维瘤
0 阅读
男,30岁,主诉右大腿肿块年余,逐渐增大,局部胀痛及压痛,根据图像表现,最可能的诊断是()

- A: 脓肿
- B: 血管瘤
- C: 脂肪瘤
- D: 横纹肌肉瘤
- E: 神经纤维瘤
请帮忙给出正确答案和分析,谢谢!
搜题,就来89问答库