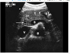
男,27岁,健康体检,超声图中箭头所指为()A: 肠系膜上动脉B: 肠系膜上静脉C: 胆总管D: 肝动脉E: 门静脉
4 阅读
男,27岁,健康体检,超声图中箭头所指为()
- A: 肠系膜上动脉
- B: 肠系膜上静脉
- C: 胆总管
- D: 肝动脉
- E: 门静脉
请帮忙给出正确答案和分析,谢谢!
搜题,就来89问答库